編者按:新型冠狀病毒肺炎疫情爆發以來,按照習近平總書記堅定信心、同舟共濟、科學防治、精準施策的總要求,機器人、人工智能、大數據等現代科學技術正不斷被開發利用,深入應用于疫情態勢研判、傳播路徑分析、精準防控、有效治療及后續治理等各工作環節。
人民網上海頻道即日起,全國范圍廣泛征集科技企業的戰“疫”神器及應用場景,重點宣傳推廣神器,助力神器快速應用,突破戰疫瓶頸。此次將重點聚焦,可以應用于疫情防控方面的新技術、新產品,新應用。利用好現代科技,為打贏疫情防控人民戰爭、總體戰、阻擊戰加速度!

商湯科技在接到由國家超級計算深圳中心轉達的緊急需求后,第一時間組織公司超算團隊支持,免費提供高性能計算資源,支持研究人員對抵抗新型冠狀病毒的藥物進行大規模篩選,同時開展病毒突變預測等工作。
1月24號晚,除夕,新冠肺炎來勢洶洶。為防控疫情,病毒突變預測和抗新型冠狀病毒藥物研究迫在眉睫。國家重點研發計劃首席科學家、中山大學藥學院羅海彬教授及團隊緊急應戰,承擔新型冠狀病毒相關應急研究項目,急需大量計算資源。
商湯科技在接到由深圳超算轉達的緊急需求后,第一時間協調超算團隊支持,并對計算資源進行適配改造,與深圳超算一起,為羅教授團隊免費提供高性能計算資源(商湯提供包括20個GPU服務器節點),全力支持研究人員對抵抗新型冠狀病毒的藥物進行大規模篩選,同時開展病毒突變預測等工作。
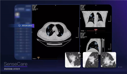
新冠肺炎疫情上,疑似患者的快速、精準臨床診斷仍是挑戰。國家衛健委下發的《新型冠狀病毒感染的肺炎診療方案解讀》中提出,將影像學作為臨床診斷的重要依據;谝延械腟enseCare智慧診療平臺,商湯針對新冠肺炎進行了快速的升級,積極馳援多地醫院及合作醫療機構。
通過AI對疑似患者肺部CT影像進行病灶的自動檢出、定位、彌漫性程度的多維分析并生成自動報告,幫助醫護人員快速篩查疑似新冠病例并進行隔離與進一步確診,從而減少交叉感染的風險,同時產品的隨訪功能還可幫助醫生對患者的治療效果進行精準量化評估,用AI為一線醫務工作者提供有跡可循、有據可依的智能輔助。
掃描關注上海頻道微信
掃描關注上海頻道微博