突如其來的疫情,讓AI走到了疫情防控的前線。作為醫療同行者,聯影智能積極響應、加速產品創新,迅速推出“uAI新冠肺炎醫學影像智能化診斷全棧解決方案”,從成像、篩查、診斷到隨訪,以AI全棧助力抗“疫”。
該系統可基于患者CT圖像,自動標記病灶,對新冠病毒感染病灶勾畫重合率超90%,全肺感染百分比量化誤差小于1%,可將5至10分鐘的CT閱片時間縮短至1分鐘以內。截至目前,聯影智能已為全國100多家醫院提供了uAI新冠肺炎智能輔助分析系統,完成數萬例新冠肺炎患者的篩查與輔助診斷。該系統還馳援海外,在東南亞、歐州及非洲等多個國家啟動了試用。

uAI新冠肺炎醫學影像智能化診斷全棧解決方案斬獲SAIL獎
此外,該解決方案中的新一代無接觸自動定位掃描技術,可以真正意義地實現技師與患者零接觸成像全流程,減少接觸和降低交叉感染風險。該方案憑借抗疫的杰出表現,斬獲世界人工智能大會(WAIC)最高榮譽——SAIL獎(卓越人工智能引領者獎),這也是今年SAIL獎中唯一一個醫療影像項目。
AI量化分析,助力篩查、診斷及隨訪
2019年12月,疫情拉響警報,全國各地陸續啟動一級響應,醫院對患者影像篩查也呈井噴式增長。
尤其是武漢放射科醫生,他們甚至每天連續工作十幾個小時、連續做上百個影像掃描,而確診病人1次 CT 檢查需400幅圖像,這意味著放射科醫生需一天至少讀4萬幅CT圖像。另外,除了確診檢查的400幅圖像外,后期病情隨訪評估,1位病人另外至少還有400幅CT圖像,醫生要用肉眼一幅幅比對前后兩次800幅圖像的變化。

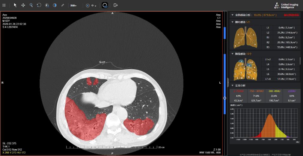
uAI新冠肺炎智能輔助分析系統
為切實減輕放射科醫務工作者的工作負擔,提升工作效率,進一步提供客觀量化標準,uAI新冠肺炎智能輔助分析系統通過高敏感度檢測與分類算法,提升病灶檢出率,輔助篩查疑似病患;通過CT影像中肺、肺葉、肺段以及病灶的快速精準分割,自動標記病灶,對肺段及相關病灶進行量化評估及分析,快速生成結構化報告,助力醫生制定針對化診療方案;并通過全自動匹配治療前后影像檢查的肺炎病灶,實現前后影像同步閱片,輔助評估病情進展與療效。

uAI新冠肺炎智能分析系統--隨訪評估功能
該系統是業界領先的綜合肺炎整體與局部影像特征、對肺炎影像精確分析的AI全流程解決方案,可盡早甄別疑似,助力患者分流管理;精準量化與隨訪,助力臨床決策與科研。
AI自動定位,實現無接觸掃描
在日常放射科中,技師要與患者直接近距離接觸,例如幫助患者擺體位、確定掃描范圍、與患者溝通流程等;在疫情期間,為防止感染,技師要穿上密不透風的防護服,經常有技師主動延長工作時間,長達十幾個小時;而患者也可能因長時間等待影像檢查產生交叉感染,或產生害怕、焦慮等不良情緒。
為切實保護放射科醫務工作者免受交叉感染,同時保證患者影像檢查能高質、高效地完成,聯影智能研發了用于新一代無接觸自動定位掃描技術,賦能醫學影像設備,實現從病患進入掃描間到掃描結束的全部掃描成像流程端到端的自動化。
具體包括高精確度病患自動定位、全自動可視化智能擺位導引、智能掃描環境態勢感知、系統自動在線標定及精確移床、實現技師對隔間病患的觀測及擺位確認,搭載人工智能視覺傳感器的醫學影像設備可以真正意義地實現技師與患者零接觸成像全流程,減少接觸和降低交叉感染風險,守護一線醫護人員的健康與安全,與此同時大幅提高掃描效率和掃描量,為救治患者爭分奪秒。
uAI技術與CT設備“珠聯璧合”,為抗疫一線提供智能精準的掃描解決方案。搭載著新一代無接觸自動定位掃描技術的聯影天眼CT已落地在全國500多家醫院。

工信部“肺炎AI影像輔助診斷產品測評”榮譽證書

抗疫表現突出企業表彰證書
在世界人工智能大會“AI+醫療服務專題論壇:智慧醫療,共創未來”現場發布的“肺炎人工智能影像輔助診斷產品測評”結果中,聯影智能新冠肺炎智能輔助分析系統通過產品功能測試、性能測試和專家評審三項測試最終在多個項目中拔得頭籌,獲評標桿企業;在工業和信息化部發布的《關于公布在科技支撐抗擊新冠肺炎疫情中表現突出的人工智能企業名單的通知》,聯影智能憑借在抗“疫”期間的優秀表現上榜。
掃描關注上海頻道微信
掃描關注上海頻道微博