腸道里長息肉,很多人都聽說過,但很少有人知道,有種息肉病,除了容易在腸道里長息肉,患者口唇部還會出現黑斑,這就是黑斑息肉綜合征。
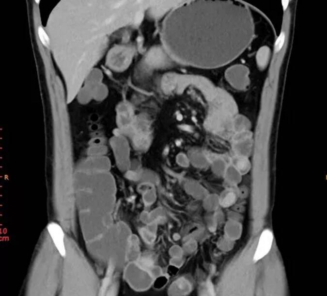
近日,復旦大學附屬中山醫院吳淞醫院就收治了這樣一例罕見的黑斑息肉綜合征,5月12日下午,專家為病患實施了小腸鏡下息肉切除術,經過40分鐘的手術時間,一個5厘米大小的巨大息肉被摘除,術后,患者恢復良好。

復旦大學附屬中山醫院吳淞醫院內鏡中心執行主任馬麗黎告訴記者:“黑斑息肉綜合征是有很大的息肉長在小腸里面,隨著病人年齡的增長,息肉會越長越大,甚至癌變!
與我們常規知曉的腸鏡不同的是,此次手術實施的部位在小腸,位置更深、直徑更細、腸壁更薄,全長有5~7米,小腸鏡的操作難度也更大,目前國內只有少數的醫院和專家才能開展。

據了解,黑斑息肉綜合征,又稱PJ綜合征,是一種家族遺傳性疾病;颊叨嘤锌诖胶诎,既往多有腸梗阻、腸套疊病史及相關手術史,部分患者的父母、兄弟姐妹、子女也有類似表現及手術史。該病發病率很低,僅為1/50000~200000,但癌變風險卻較高,盡快切除是治療的首選方式。但由于息肉會再次生長,而小腸是人體消化吸收最重要的部位,反復多次進行傳統的切除長有息肉的小腸手術,可能導致患者致殘,甚至危及生命。如今,專家運用小腸鏡,通過微創的方式為患者切除息肉,大大降低了患者的手術風險。
(來源:上海寶山)
掃描關注上海頻道微信
掃描關注上海頻道微博