喀什二院成功實施首例頸動脈長節段非急性閉塞再通術
近日,喀什地區第二人民醫院(以下簡稱“喀什二院”)神經內科介入團隊完成了醫院首例頸動脈長節段非急性閉塞開通術,開通了患者左側超10厘米長的閉塞頸內動脈,術后患者恢復良好,標志著喀什二院在神經介入技術領域又一次取得突破性進展。
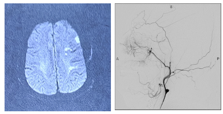
患者阿先生65歲,兩周前突發言語不清伴右側手腳無力,外院檢查發現左側大腦半球多發散在腦梗,同時腦血管造影發現對應的供血血管--頸內動脈長節段閉塞。經過內科藥物治療,手腳無力癥狀有所好轉,但患者仍感頭暈不適并伴有記憶力減退,為進一步治療,轉入喀什二院神經內科。

術前造影
入院后完善相關檢查和評估,主治醫生李紅梅發現其左側頸內動脈閉塞節段超過10 厘米,開通難度非常大,風險也較高。頸動脈閉塞根據發病時間不同分為急性閉塞(閉塞<24小時)、非急性閉塞(閉塞≤1個月)和慢性閉塞(>1個月)。頸動脈是腦部血液的主要供應動脈之一,患者如果缺乏良好側支代償將面臨極高的卒中復發風險。
由于患者的左側大腦半球的血液代償體系建立不好,處于嚴重低灌注狀態,導致腦供血不足,存在較高的腦梗死復發風險,且患者逐步出現認知功能減退的現象。面對這種情況,第十一批上海援疆專家、喀什二院神經內科主任王子高帶領團隊精心制定手術方案,決定實施左側頸內動脈閉塞開通術。長節段頸內動脈閉塞開通術手術難度大,對術者要求極高,不僅需要具有嫻熟的微導絲、微導管操控技能,更需要有堅持不懈的耐心和應對各種并發癥,處變不驚的能力。在完善相關檢查及充分術前準備后,王子高帶領神經內科介入團隊在全麻下為該患者實施了左側頸內動脈閉塞開通術,歷時3個小時,該患者左側頸內動脈實現完全再通,術后狀態良好,患者阿先生說:“我現在頭也不昏了,眼睛看東西也更亮了!”

術前造影
王子高主任表示:“腦動脈非急性閉塞開通術是缺血性腦血管介入治療中難度系數最高的手術,且閉塞節段越長,手術風險越高。該患者的頸動脈閉塞便屬于這種‘最難啃的硬骨頭’,但卻又是不得不去啃的‘硬骨頭’?!?/p>

此次手術的成功標志著喀什二院在神經介入技術領域又邁出重要一步,經過上海持續十余年的援疆,神經內科介入技術日趨成熟,具備了“逢難而上”的精神,一支帶不走的高水平的缺血性腦血管病救治隊伍已基本打造完成,切實為地區廣大腦血管病患者帶來福音。

(來源:上海援疆)
分享讓更多人看到
- 評論
- 關注






























第一時間為您推送權威資訊
報道全球 傳播中國
關注人民網,傳播正能量